《CEJ》有效組織修復、機械增強和高粘性脫細胞組織衍生的水凝膠
發布時間:2021-06-29 09:45:23 人氣:1529
摘要
來自脫細胞組織(DT)的水凝膠在再生醫學中顯示出巨大的潛力。然而,由熱誘導交聯過程產生的水凝膠通過DT中膠原纖維的自組裝表現出弱的機械性能。這限制了其在需要水凝膠結構的強機械性能和結構完整性的組織再生中的應用。為了克服現有DT衍生水凝膠的上述挑戰,延世大學Seung-WooCho教授團隊通過將兒茶酚部分與DT中的細胞外基質結合,開發了一種配備氧化交聯化學的DT水凝膠。兒茶酚修飾的DT(DT-CA) 在通過兒茶酚-兒茶酚加合物氧化后立即構建水凝膠,與未修飾的DT水凝膠相比,其機械性能強10倍。
氧化交聯還增加了DT水凝膠的粘附性和物理完整性,允許在不使用任何支撐材料的情況下成型支架,這是傳統DT水凝膠無法實現的。DT-CA水凝膠證明了人類干細胞的成骨分化增強,并在臨界尺寸顱骨缺損的小鼠模型中加速了新骨的形成。此外,DT-CA 的貼片類型通過介導生長因子的有效局部遞送來促進傷口愈合。類似地,可以引入其他酚類粘合劑部分(鄰苯三酚)來改善 DT 水凝膠以促進傷口再生。總的來說,這項研究的結果支持機械增強的粘性 DT 水凝膠在有效組織再生中的適用性。相關論文以題為Mechanically-reinforced and highly adhesive decellularized tissue-derived hydrogel for efficient tissue repair發表在《化學工程期刊》上。
主圖
圖 1. DT-CA 水凝膠的制備和表征。(a) 用于制備 DT-CA 水凝膠的脫細胞、增溶、兒茶酚結合和凝膠化過程的示意圖(下圖)。上圖展示了通過熱誘導自組裝交聯的傳統 DT 水凝膠。(b) 去細胞化前后皮膚組織的 Col I(紅色)的大體視圖(小入口圖像)、H&E 染色和免疫熒光染色。使用 DAPI(藍色)對細胞核進行復染。比例尺 = 100 μm。(c) 脫細胞前后凍干皮膚組織中 DNA 和 GAG 含量的定量。(d) 1H NMR 分析證實溶解在氧化氘中的 DT-CA 綴合物中的兒茶酚修飾。(e) DT、DT-CA 偶聯物、DT 水凝膠和 DT-CA 水凝膠的 FT-IR 分析。

圖 2. DT 水凝膠的結構和機械性能比較。
圖 3. DT-CA 水凝膠的物理完整性和粘附性得到改善。
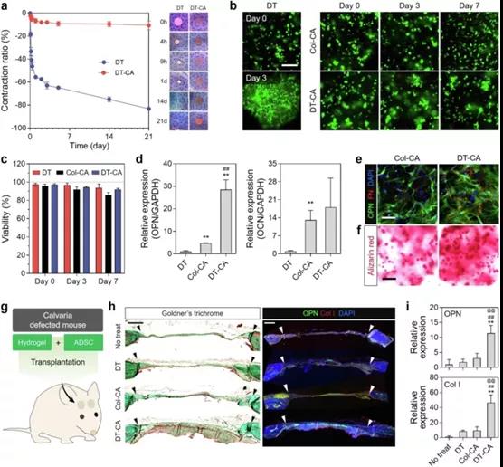
圖 4. 使用 DT-CA 水凝膠移植 hADSCs 增強成骨分化和新骨形成。
圖 5. DT-CA 水凝膠貼片的制備及其在小鼠全層傷口模型中局部皮膚組織再生的應用。
總結
該團隊提出了一種仿生方法來克服脫細胞組織基質衍生水凝膠系統的當前局限性。DT 水凝膠的機械和物理化學性質可以通過調節交聯化學得到顯著改善,而不會影響脫細胞基質的固有生化效應和生物相容性。由與 DT 骨架亞基綴合的兒茶酚部分介導的氧化交聯可以誘導快速凝膠化,并賦予所得 DT 水凝膠強大的物理性質和顯著的組織粘附性。DT-CA 水凝膠的可靠成形無需額外的支持材料,可能是指 DT-CA 系統在組織特異性支架和組織模型的簡易制造和生物打印方面的潛在應用。開發的 DT-CA 水凝膠通過模擬具有增強機械線索的組織,顯著促進了體外和體內的干細胞成骨。此外,貼劑型 DT-CA 的配方進一步提高了 DT-CA 水凝膠的機械性能和可用性,促進了有效的藥物輸送和組織再生。機械增強的粘性 DT 水凝膠也可以通過結合 PG 來實現,這可以擴大 DT 在臨床環境中的潛在效用。預計,用兒茶酚或沒食子化學對脫細胞技術進行的改進將適用于其他類型組織的細胞治療和組織工程。
| 溫馨提示:蘇州北科納米供應產品僅用于科研,不能用于人體,不同批次產品規格性能有差異。網站部分文獻案例圖片源自互聯網,圖片僅供參考,請以實物為主,如有侵權請聯系我們立即刪除。 |
下一篇: 納米醫學產品1


