《Angew》同濟大學王啟剛:超快速凝膠和軟骨修復的組織液觸發酶聚合
發布時間:2021-06-28 09:39:23 人氣:1442
摘要可注射前體的原位凝膠化在組織再生領域是可取的,尤其是在不規則缺陷填充的情況下。當前快速凝膠化的驅動力包括熱敏共聚物的相變、與組織成分的點擊化學反應和金屬配位效應。然而,快速形成堅韌的水凝膠仍然是一個挑戰。受有氧代謝的啟發,同濟大學王啟剛教授團隊提出了一種由葡萄糖氧化酶和甘氨酸亞鐵催化的組織液觸發的級聯酶聚合過程,用于丙烯酰化硫酸軟骨素和丙烯酰胺的超快速凝膠化。
碳自由基和大分子的高效生產有助于自動加速聚合,用于骨缺損中的軟組織增加。共聚物水凝膠證明了軟骨的再生促進能力。作為使用人工酶復合物進行原位聚合的第一個例子,這項工作為設計用于生物植入和生物打印應用的強度可調水凝膠提供了一種仿生方法。相關論文以題為Tissue Fluid Triggered Enzyme Polymerization for Ultrafast Gelation and Cartilage Repair發表在《Angewandte Chemie International Edition》上。
主圖
碳自由基和大分子的高效生產有助于自動加速聚合,用于骨缺損中的軟組織增加。共聚物水凝膠證明了軟骨的再生促進能力。作為使用人工酶復合物進行原位聚合的第一個例子,這項工作為設計用于生物植入和生物打印應用的強度可調水凝膠提供了一種仿生方法。相關論文以題為Tissue Fluid Triggered Enzyme Polymerization for Ultrafast Gelation and Cartilage Repair發表在《Angewandte Chemie International Edition》上。
主圖
圖4 (a) 在水凝膠提取物中培養的軟骨細胞的細胞活力超過7天。(b)在 Dulbecco s Modified Eagle 培養基和水凝膠提取物中培養的活/死和 F-肌動蛋白鬼筆環肽染色的軟骨細胞的熒光圖像。(c) 使用水凝膠進行軟骨修復的動物實驗示意圖。(d) 對照組和治療組治療前后髕骨照片。(e) 對照組和治療組髕骨修復后的顯微CT圖像。

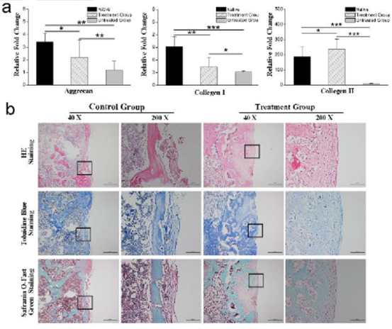
圖5 (a) 蛋白聚糖、膠原蛋白 I 和膠原蛋白 II 的基因表達。(b) HE染色、甲苯胺藍染色和番紅O染色觀察的組織切片。
本信息源自互聯網僅供學術交流 如有侵權請聯系我們立即刪除
| 溫馨提示:蘇州北科納米供應產品僅用于科研,不能用于人體,不同批次產品規格性能有差異。網站部分文獻案例圖片源自互聯網,圖片僅供參考,請以實物為主,如有侵權請聯系我們立即刪除。 |
下一篇: 納米醫學產品1


